Studio Medico di Ostetricia e Ginecologia

Nello Studio medico della Dr.ssa Pellizzari a Padova è possibile avere un Servizio Ostetrico-Ginecologico completo, dalla visita ginecologica e senologica, al monitoraggio della gravidanza, al servizio di ecografia ginecologico ed ostetrico.

Studio Medico Dr.ssa Pellizzari

CONSULENZE PRECONCEPIMENTO E Poliabortività

CONSULENZA PRECONCEPIMENTO

Che cos'è?

Ai nostri giorni la gravidanza e` un evento che viene il piu` delle volte programmato dalla coppia prevalentemente per ragioni socio-economiche. Se da un lato si priva la coppia dell`aspetto romantico e naturale legato all`insorgenza inconsapevole della gestazione dall`altro si ha l`opportunità di effettuare un programma di prevenzione e cura di patologie che potrebbero ostacolare o danneggiare la gravidanza, la paziente e il futuro nascituro.


A cosa serve?

La consulenza preconcepimento mira ad identificare nella coppia quei fattori che potrebbero avere un impatto negativo sulla gravidanza. A tale scopo durante il colloquio vengono evidenziati dei fattori di rischio come: anomalie del peso, l`esposizione a sostanze tossiche, le carenze vitaminiche (come l`acido folico), lo screening infettivo, l`uso di farmaci teratogeni, anomalie metaboliche come il diabete, disfuzioni ormonali come i distiroidismi, la presenza di malattie genetiche ereditarie, alterazioni della coagulazione, patologie psichiatriche, abuso di sostanze tossiche. In molti casi e` possibile correggere situazioni patologiche, silenti che potrebbero compromettere l`instaurarsi e il buon proseguimento di una gravidanza.


CONSULENZA POLIABORTIVITÀ

Definizione

L`aborto nella razza umana e` un evento molto frequente, pari al 15% delle gravidanze iniziate, tuttavia questo rischio sale al 30% dopo due aborti consecutivi e al 33% dopo tre. In questi casi si parla di una condizione molto dolorosa denominata poliabortività.


Cause di poliabortività

In questa situazione e` importante cercare di identificare le possibili cause dell`evento, che possono essere: anomalie cromosomiche, ipotiroidismo non trattato, diabete mellito scompensato, alterazioni ormonali, anomalie anatomiche dell`utero, sindrome da anticorpi antifosfolipidi, patologie trombofiliche, malattie autoimmuni, infezioni e fattori ambientali.


Diagnosi

E`importante quindi che la paziente si sottoponga alle seguenti indagini:

  • Determinazione del cariotipo
  • Isterosonografia e isteroscopia nel sospetto di anomalie uterine
  • Dosaggi ormonali
  • Dosaggio di autoanticorpi
  • Studio trombofilico
  • Ricerca infezioni

Nel partner maschile:

  • Determinazione del cariotipo
  • Esame seminale
  • Test di frammentazione del DNA

Studio Medico Dr.ssa Pellizzari

Visite — ostetriche e ginecologiche

VISITA OSTETRICA

Che cos'è e a cosa serve?

La prima visita in gravidanza viene eseguita fra la 5 e la 8 settimana di amenorrea e viene ripetuta mensilmente fino al termine. In caso di comparsa di disturbi puo` essere anticipata. Al primo incontro e` importante raccogliere una storia clinica particolareggiata mirata ad evidenziare fattori di rischio per la salute della paziente e del bambino. Conoscere il decorso di gravidanze precedenti aiuta a gestire e controllare meglio la gravidanza in corso.

Anche la storia familiare fornisce indicazioni utili ad identificare malattie genetiche e predisposizioni per rischio cardiovascolare, diabetico o altre condizioni. Durante ogni visita occorre conoscere il peso della paziente, controllare la pressione arteriosa, la presenza di edemi. Durante l`esplorazione vaginale si valuta la lunghezza del collo dell`utero e la chiusura, la presenza di utero contratto.

Il raccorciamento e l`apertura dello stesso o l`utero contratto comportano un maggior rischio di parto prematuro. Attualmente alla visita ostetrica si affianca l`ecografia ostetrica che consente di valutare lo stato di benessere del feto, il suo battito cardiaco, la placenta, il liquido amniotico, misurare con precisione il collo dell`utero e la crescita fetale.


VISITA GINECOLOGICA

Cos'è

Per visita ginecologica si intende un incontro fra la ginecologa e la paziente e si articola in una prima fase in cui viene fatta un`accurata storia clinica della paziente, valutati i fattori di rischio per la salute riproduttiva e in una seconda parte in cui si esegue un`esplorazione vaginale bimanuale.


IN CHE COSA CONSISTE

Durante la raccolta della storia clinica della paziente si fanno domande sullo stato di salute generale e sulle caratteristiche del ciclo mestruale, sulle eventuali gravidanze, aborti, interventi chirurgici, l'uso di metodi contraccettivi, infezioni sessualmente trasmesse.

Successivamente la paziente si prepara per la visita ginecologica che consiste nel valutare i genitali esterni, la vagina e tramite un esame bimanuale eseguito per via vaginale valutare l'utero, e le ovaie. Nella stessa seduta viene eseguito il pap test: si inserisce in vagina un piccolo dispositivo che si chiama speculum per visualizzare il collo dell'utero dove vengono prelevate con una spatolina delle cellule successivamente inviate al laboratorio per un`analisi microscopica. Il pap test è un esame che serve per evidenziare anomalie cellulari del collo uterino e della vagina, allo scopo di curarle e impedire che diventino patologie gravi.


Norme di preparazione per l`esecuzione del pap test

Ai fini dell’esecuzione dell’esame:

  • evitare, dalla sera precedente l’esame, lavande vaginali e l’introduzione in vagina di prodotti per l’igiene intima;
  • l’esame non può essere effettuato nel periodo mestruale;
  • per una buona riuscita dell’esame, è consigliabile astenersi dai rapporti sessuali nelle 24h precedenti l’esame.
  • Durata dell’esame: 5 minuti

Ai fini di aumentare la capacità diagnostica della visita ginecologica è oramai indispensabile associare l'esecuzione dell`ecografia pelvica-transvaginale.

Vuoi prenotare una visita o consulenza?

Studio Medico Dr.ssa Pellizzari

TEST DEL DNA "PRENATAL SAFE"

Al fine di offrire un più ampio spettro di analisi fetali tramite il test del DNA placentare, ho recentemente introdotto il test PrenatalSafe, prodotto dalla Ditta Eurofins Genoma.

Si tratta di un prelievo di sangue eseguito sulla gestante, quindi non invasivo. Attraverso questo esame è possibile ottenere diversi livelli di indagine cromosomica dall’analisi del numero dei cromosomi alla identificazione di anomalie strutturali degli stessi.

L’esame offre a seconda del livello di indagine diversi test:

Il livello base offre:

  1. Lo screening delle anomalie numeriche dei cromosomi 21, 18, 13 e dei cromosomi sessuali (X e Y)
  2. Determinazione del sesso fetale

Il livello Plus offre:

  1. Lo screening delle anomalie numeriche dei cromosomi 21, 18, 13, 9, 16 e dei cromosomi sessuali (X e Y)
  2. Determinazione del sesso fetale
  3. Screening delle seguenti anomalie strutturali dei cromosomi note con il nome di microdelezioni: quali la sindrome di Di George, la sindrome del Cri du Chat, la sindrome di Prader Wille e di Angelman, sindrome da selezione del 1p36 e la sindrome di Wolf Hirschhorn selezione 4p.

Il livello Karioplus offre:

  1. Lo screening delle anomalie numeriche oltre che dei cromosomi 21, 18, 13, 9, 16 e dei cromosomi sessuali (X e Y)
  2. Determinazione del sesso fetale
  3. Screening delle seguenti anomalie strutturali dei cromosomi note con il nome di microdelezioni: quali la sindrome di Di George, la sindrome del Cri du Chat, la sindrome di Pradier Wille e di Angelman, sindrome da selezione del 1p36 e la sindrome di Wolf Hirschhorn selezione 4p e di altre 3 microdelezioni.
  4. Anomalie numeriche e strutturali degli altri cromosomi in particolare delezioni duplicazioni segmentali.

Inoltre ci sono altri livelli che associano allo studio dei cromosomi anche le malattie legate alla mutazione di un gene (malattie monogeniche)  e malattie genetiche gravi del feto (Prenatal complete e il Full risk).

La scelta del test viene eseguita grazie alla consulenza genetica di una Dottoressa specializzata in Biologia genetica che vi aiuterà nella selezione del test più appropriato alle vostre esigenze.

Nel corso della consulenza oltre ad analizzare i vari tipi di test, si terrà in considerazione anche se la paziente si è sottoposta a tecniche di PMA sia omologhe che eterologhe e se la gravidanza è singola o multipla.

E’ altamente raccomandato sottoporsi ad una ecografia ostetrica alla 12 settimana prima di eseguire il test del DNA placentare per evidenziare anomalie morfologiche del feto e una traslucenza retronucale di spessore aumentato perche` in questi casi è mandatorio effettuare una diagnosi prenatale con villocentesi o amniocentesi per identificare malattie che il test del dna non diagnostica.



Studio Medico Dr.ssa Pellizzari

TEST COMBINATO o ULTRASCREENING

Si tratta di un esame composto da una ecografia genetica e un prelievo di sangue alla paziente eseguiti dalla 11 alla 13 settimana di gestazione.


A COSA SERVE?

Il test combinato fornisce diverse informazioni, oltre a determinare l`eta’ gestazionale e il numero di feti:

1) Fa il calcolo del rischio della sindrome di Down (trisomia 21) e della trisomia 13 e 18. I parametri che vengono presi in considerazione sono l`età materna, la storia familiare della paziente, la misura della traslucenza retronucale, la presenza dell`osso nasale, il dosaggio ematico di due ormoni presenti nel sangue materno (frazione libera del BHCG e la PAPP-A). In uno studio recente pubblicato da Santorum et al. le percentuale di rilevamento delle trisomie 21, 18, 13 e delle monosomie X e triploidie sono piuttosto elevate come si vede dalla tabella.

(Santorum M1, Wright D2, Syngelaki A1, Karagioti N1, Nicolaides KH1. Accuracy of first-trimester combined test in screening for trisomies 21, 18 and 13. Ultrasound Obstet Gynecol. 2017 Jun;49(6):714-720. doi:10.1002/uog.17283. Epub 2017 Apr 26).

ALTERAZIONI CROMOSOMICHE
PERCENTUALE DI RILEVAMENTO
TRISOMIA 21
90%
TRISOMIA 18
97%
TRISOMIA 13
92%
MONOSOMIA X E TRIPLOIDIE
95%

2) Fa il calcolo del rischio della gestosi precoce (patologia della gravidanza in cui compare ipertensione arteriosa, perdita di proteine con le urine e edemi diffusi dopo il 6 mese)

3) Fa il calcolo del rallentamento della crescita fetale attraverso la misurazione del flusso di sangue nelle arterie uterine, il peso, la pressione arteriosa materna, la storia clinica e il prelievo ematico.

4) Infine è possibile calcolare il rischio di parto prematuro misurando la lunghezza del collo uterino. Durante l`ecografia è possibile inoltre evidenziare la presenza di malformazioni fetali maggiori. Anche se l`ecografia che esegue un dettagliato studio della anatomia fetale viene fatta alla 20 settimana (ecografia morfologica), tuttavia già alla 12 settimana e` possibile evidenziare alcune delle possibili malformazioni fetali.

L`accuratezza del test combinato si basa sulla valutazione di tutti i parametri, sia ecografici che biochimici (prelievo). Inoltre è operatore dipendente ossia la sicurezza del test e` maggiore se gli operatori che lo fanno hanno eseguito un training di specializzazione fornito dalla Fetal Medicine Foundation e se il prelievo del sangue viene dosato da strumentazione e laboratori validati e accreditati.

Studio Medico Dr.ssa Pellizzari

TEST DEL PORTATORE (carrier screening )


Il test carrier screening è un prelievo di sangue che verifica se una paziente è portatrice  senza saperlo di una malattie genetica che può trasmettere al figlio se concepisce con un partner anche lui portatore della stessa malattia.

Si tratta di malattie genetiche ereditarie che si manifestano solo nei figli i cui genitori sono portatori del gene malato, ma che non accusano alcun disturbo e quindi non sanno di essere portatori. Questo accade perché la malattia si manifesta solo se il bimbo eredita DUE geni malati, uno dalla madre e uno dal padre. Se invece eredita solo un gene malato diventa portatore asintomatico e quindi non ha la malattia.

La malattia può essere grave e portare anche alla morte.

Queste malattie sono principalmente dovute ad una mutazione di un gene situato nei cromosomi autosomici (malattie genetiche recessive) o ad alterazioni si geni situati nei cromosomi sessuali (X-linked); in questo ultimo caso la malattia di solito si manifesta nel feto maschio se eredita dalla madre il cromosoma X con il gene alterato.

Questa patologie sono responsabili del 20% della mortalità infantile e del 10% dei ricoveri pediatrici. Il rischio di concepire un figlio con una malattia genetica recessiva è del 1-2% per ogni coppia con familiarità negativa, mentre rischio è più alto se la malattia è presente in famiglia.


Come si esegue

E un prelievo di sangue che viene fatto alla coppia per verificare lo stato di portatore sano della  malattia genetica in questione. Una volta fatto il test dura tutta la vita.


Quando e a chi farlo

Il test può essere fatto o in epoca preconcepimento o nelle prime settimane di gravidanza. 

E’ consigliabile che tutte le coppie lo facciano almeno per le malattie genetiche più frequenti.

Altri candidati al test sono pazienti che hanno in famiglia o sono loro stessi affetti da malattie genetiche.

Infine il test viene offerto a coppie che si sottopongono a fecondazione assistita perchè è possibile vedere se gli embrioni sono affetti dalla malattia, prima di trasferirli in utero tramite la diagnosi preimpianto.

Quali malattie vengono analizzate?

Come sottolineato le malattie genetiche sono parecchie pertanto si è scelto di offrire il test di quelle più frequenti nella popolazione normale.

Nel mio studio viene eseguito il test al portatore Genescreen (Eurofins - Genoma).

Per ulteriori informazioni telefonare al 3496250744.

Studio Medico Dr.ssa Pellizzari

ECOGRAFIE OSTETRICHE

Si tratta di indagini non invasive che si attuano attraverso l`impiego di sonde che emettono ultrasuoni che consentono di visualizzare il bambino dentro l`utero, in modo innocuo e sicuro, fornendoci importanti informazioni sullo stato di benessere del feto e della gravidanza.


ECOGRAFIA DEL I TRIMESTRE

COS'È

E` una ecografia che viene fatta fra la 5 e l`8 settimana di gravidanza per via transaddominale e transvaginale perche` il bambino e` molto piccolo pertanto entrambe le procedure interna ed esterna sono utili e si completano. Inoltre in questo modo non serve la vescica piena.

A cosa serve?

  • Conferma la presenza della gravidanza e del battito cardiaco del bambino
  • Misura la lunghezza del bambino (CRL)
  • Stabilisce la datazione della gravidanza rispetto all`ultima mestruazione
  • Conferma che la camera ovulare eè dentro l'utero
  • Determina il numero di bambini (gravidanza singola o gemellare)
  • Controlla l`utero, le ovaie e il collo dell'utero

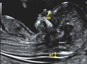
ECOGRAFIA DELLE 12 SETTIMANE O ECOGRAFIA GENETICA

COS'È

Si tratta di una ecografia molto importante che viene eseguita intorno alla 12 settimana di gravidanza. Può essere inserita nell`ambito dell`esame ultrascreening (vedi anche test combinato) o associata al test del DNA placentare.

Cosa valuta?

Già a queste settimane è possibile evidenziare la presenza di malformazioni fetali. Inoltre la misurazione della traslucenza retronucale fornisce informazioni sul rischio di alcune anomalie cromosomiche, patologie malformative e anomalie cardiache.

Nella stessa seduta si valuta la crescita fetale, la posizione della placenta e il liquido amniotico. Si puo` misurare la lunghezza del collo uterino parametro importante per il rischio di parto prematuro


ECOGRAFIA PREMORFOLOGICA

COS'È

Si tratta di una ecografia eseguita alla 16 settimana, in grado di rilevare molte malformazioni fetali e di valutare il liquido amniotico e la placenta. E`inoltre possibile vedere il sesso del nascituro.

Perchè viene eseguita?

Innanzittutto molte mamme sono ansiose di sapere come sta` il loro bambino, se c'è il battito cardiaco e se cresce bene. Per il medico e` un`occasione per valutare prima del quinto mese, cioe` prima della morfologica se ci sono delle malformazioni gia` visibili e prendere gli adeguati provvedimenti prima di arrivare all`epoca in cui si esegue la morfologica.


ECOGRAFIA MORFOLOGICA

COS'È

E'un'ecografia che viene effettuata fra la 19 e la 22 settimana di gravidanza allo scopo principale di valutare l`anatomia fetale. Deve essere eseguita da operatori esperti

Cosa Serve?

E`un`indagine molto lunga e impegnativa che controlla diversi organi fetali come il cervello e la colonna vertebrale, la struttura facciale, il cuore, il torace, gli organi addominali (fegato, reni e vescica, stomaco, colecisti, gli arti e l`apparato scheletrico).

E` possibile individuare quasi il 70% di malformazioni fetali e il buon risultato dipende dall`operatore, dalla presenza di fattori limitanti l`esame come l`obesita` e la posizione fetale  Si analizza anche la struttura del cordone ombelicale, la placenta e il liquido amniotico.

Per finire si valuta la crescita e il peso fetali. E`inoltre utile per valutare alcuni parametri emodinamici come il flusso uteroplacentare e il flusso di sangue nelle arterie uterine, parametri connessi ad un buon funzionamento placentare.

Nella stessa seduta e` importante anche misurare la lunghezza del collo dell`utero, espressione del rischio di parto prematuro.


ECOGRAFIA DELLA CRESCITA

Cosa Serve?

E` una ecografia che valuta principalmente la crescita del bambino e lo stato della placenta, la quantita` di liquido amniotico. Nel corso dell`esame vengono misurati la circonferenza cranica, la circonferenza addominale, il diametro della testa e la lunghezza del femore.

Si controlla anche lo stato di benessere degli organi fetale per valutare che la loro formazione segua un decorso regolare rispetto al controllo effettuato durante l`ecografia morfologica.


ECOGRAFIA OSTETRICA TRI-QUADRIMENSIONALE

COS'È

Per la paziente è come una normale ecografia tuttavia raccoglie informazioni che con l`ausilio di un algoritmo contenuto dentro all`ecografo ricostruisce l`immagine del feto in tridimensionale. L`immagine che si crea soprattutto con la ricostruzione del volto del bambino e` di forte impatto emotivo-affettivo per i genitori.

Inoltre alcuni dettagli morfologici possono essere valutati in modo piu` preciso grazia alla tecnologia 3D. La tecnologia quadrimensionale non e` altro che una immagine in tridimensionale in tempo reale e dinamico.


Tutte le ecografie ostetriche vengono eseguite con sonde ecografiche transaddominali e necessitano, specie nel primo trimestre e in condizione di particolari posizioni del feto o quando si debba misurare con precisione la lunghezza del collo dell`utero, che l`esame venga eseguito con sonda transvaginale.

Nei due o tre giorni precedenti l`esami non si deve applicare sulla pancia gel o creme che potrebbero limitare la qualita` dell`immagine ecografica. Non ci sono controindicazioni ad eseguire l`esame ecografico, nè per via addominale, ne` per via vaginale.

Studio Medico Dr.ssa Pellizzari

ECOGRAFIA GINECOLOGICA

Che cos'è

E` una indagine non invasiva che serve per studiare gli organi riproduttivi interni attraverso l'analisi di immagini create dagli ultrasuoni. In particolare si studia l'utero, l`endometrio, il collo uterino, le ovaie e le tube.

Come si esegue?

Viene eseguito sia per via vaginale con l`uso di una sonda inserita in vagina, che addominale con una sonda appoggiata in addome. Indispensabile per far passare gli ultrasuoni è utilizzare un film di gel che ne facilita la propagazione.

Quali sono le indicazioni all`esame?

Si studiano gli organi pelvici ossia:

  1. la forma, le dimensioni del corpo e del collo dell'utero
  2. lo spessore e l'aspetto dell`endometrio
  3. le dimensioni e la struttura delle ovaie
  4. lo stato delle tube, in questo caso l`esame si chiama isterosonografia
  5. la vescica
  6. la presenza di strutture anomale intorno a questi organi
  7. la vascolarizzazione degli organi pelvici

In questo modo si possono evidenziare diverse patologie come polipi, fibromi, cisti o tumori . Quando l`esame viene condotto solo per via addominale e` necessario avere la vescica piena. Tuttavia l`esecuzione dell`esame per via vaginale completa l`esame esterno, in quanto avvicinandosi maggiormente agli organi pelvici li analizza in maniera piu` dettagliata e definita.


ECOGRAFIA TRI-QUADRIMENSIONALE

COS'È

L`introduzione della tecnologia tri e quadimensionale ha consentito di visualizzare meglio le strutture pelviche. In particolare si può analizzare meglio la forma dell`utero e della sua cavità. Questo risulta particolarmente utile in caso di malformazioni uterine.


ECOGRAFIA RIPRODUTTIVA

COS'È

Si tratta sempre di una ecografia ginecologica, mirata ad ottenere informazioni sullo stato della fertilita` della paziente.

Come si esegue?

Si tratta sempre di una ecografia transvaginale e addominale, che si avvale anche di soluzioni saline per controllare la pervieta` tubarica.

Che cosa analizza?

Dall'ecografia riproduttiva si ottengono le seguenti informazioni:

  1. studio della forma dell`utero e della sua cavità
  2. studio della fase funzionale dell'endometrio
  3. studio della pervietà tubarica
  4. studio aspetto ovarico per valutare la riserva ovarica o la presenza di patologie come la micropolicistosi ovarica o la presenza di cisti

Utilizziamo i cookie per personalizzare la tua esperienza utente e per studiare come viene utilizzato il nostro sito web. Acconsenti ai nostri cookie, se continui ad utilizzare questo sito web.